Trattamenti di ortodonzia
Lo studio dentistico Orlandini Gasperini di Follonica, in provincia di Grosseto, esegue trattamenti ortodontici di altissima qualità per pazienti di ogni età.
L’ortodonzia é il settore dell’odontoiatria che si occupa della diagnosi, della prevenzione e della cura delle malocclusioni, cioè di tutti quei casi in cui è presente una cattiva relazione di combaciamento fra l’arcata dentaria superiore, detta mascellare, e quella inferiore, detta mandibolare.
In linea generale, i trattamenti ortodontici riguardano i seguenti ambiti di intervento:
- cura della malocclusione;
- valutazione denti del giudizio;
- movimento ortodontico chirurgicamente guidato - corticotomie;
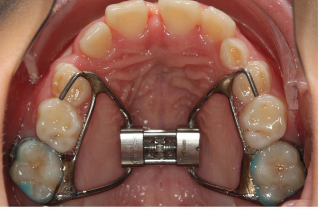
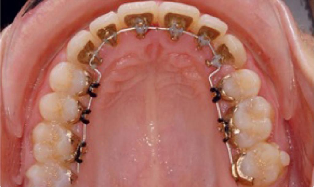
- apparecchi ortodontici fissi e mobili;
- espansore rapido del palato;
- twin block, pendulum, maschera di Delaire e arco linguale;
- contenzione fissa - splintaggio;
- placca o mascherina di contenzione mobile;
- invisalign.
"Se qualcuno ti vuole ferire, guarda il dolore che nasconde. Se qualcuno ti vuole mentire, guarda il vuoto che conserva. Se qualcuno ti vuole tradire, osserva la solitudine che porta. Se qualcuno si prende gioco di te, osserva i traumi che racchiude. Se qualcuno ti disprezza, guarda quanto è grande la sua miseria. Se qualcuno ti invidia, osserva la sua frustazione interiore. Non ti offendere per i difetti altrui, lavora per correggere i tuoi difetti, correggi in te il più possibile, sii gentile e gentile con chi ne ha più bisogno. Non preoccuparti tanto di nutrire il tuo ego e comincia nutrire la tua anima"
Anonimo
Apparecchi ortodontici per la cura delle malocclusioni a Follonica
Un dente non allineato o una chiusura mandibolare errata possono causare numerosi disagi di tipo sia funzionale che estetico. Si tratta di problemi che possono però essere risolti con successo grazie all’ausilio di appositi apparecchi ortodontici, progettati su misura e in tempi rapidi.
Gli apparecchi possono essere sia di tipo fisso che di tipo mobile, a seconda della tipologia di intervento necessario e delle esigenze del paziente, individuate nel corso di una consultazione iniziale con lo specialista.
Tutti i trattamenti ortodontici proposti e forniti allo studio dentistico sono eseguiti grazie alla professionalità dell’equipe medica, la quale possiede un’eccellente formazione accademica e una lunga esperienza lavorativa nel settore dell’ortodonzia e della chirurgia dentale.
Apparecchi ortodontici per la cura delle malocclusioni a Follonica
Sono la Dott.ssa Gianna Orlandini, mi sono laureata con lode in Medicina e Chirurgia e specializzata con lode in Odontoiatria nel 1986 presso l’Università degli Studi di Siena. Svolgo l’attività di esclusivista in Ortodonzia per bambini ed adulti nel mio studio di Follonica in via Roma, 79. Dal 1983 sono iscritta alla S.I.D.O. Società Italiana di Ortodonzia, ho svolto l’attività Medico Interno nel reparto di Ortodonzia dell’Università degli Studi di Siena, ho seguito numerosissimi corsi d’aggiornamento e Master in Ortodonzia, Paradontologia e Gnatologia. Ho curato con scienza, coscienza e passione più di 3500 pazienti, bambini, adolescenti, adulti. Mi avvalgo della collaborazione della Dott. Clelia Luzi Ortodontista e Pedodontista del Dott. Francesco Zecchini Gnatologo del Dott. Luca Quercetani per l’educazione all’igiene Orale e l’esecuzione delle sigillature dentali e delle mie impagabili A.S.O. (assistenti alla poltrona) Marzia Marzocchi dal 1985, Michela Favilli dal 1992, Federica Esposto, apprendista.
La GNATOLOGIA è una branca piuttosto recente dell’odontoiatria che studia funzioni della mandibola, tra cui la masticazione, la deglutizione, la fonazione e la posturale. Si occupa quindi dell’articolazione temporo-mandibolare cioè dell’articolazione tra mandibola e cranio e dei muscoli che servono ad aprire la bocca e a chiudere la bocca.
L’ ORTODONZIA è la branca dell’odontoiatria specializzata nella prevenzione, nella diagnosi e nel trattamento delle malocclusioni, che si manifestano come anomalia di posizione dei denti, della mascella e della mandibola.
Con l’ortodonzia si vuol creare un corretto allineamento dei denti e una buona estetica facciale. E' consigliato eseguire la prima visita ortodontica intorno ai 5 anni perché una valutazione precoce ha lo scopo d’individuare il problema e di valutare la sua evoluzione nel tempo.
Ortodonzia e pedodonzia a Follonica
Sono Clelia Luzi, laureata in odontoiatria e protesi dentaria con lode all’Università di Siena nel 2018. Sin dai primi anni universitari il mio precipuo interesse è stato rivolto all’ortodonzia; proprio in tale ambito ho svolto un master biennale diretto dal Prof. Mirabella, proseguendo la mia pratica clinica in ambito universitario e ambulatoriale, con l’ulteriore dedizione alla pedodonzia; essendo estremamente interessata alla salute dei miei piccoli pazienti, porto avanti uno studio iniziato con la mia tesi di laurea sperimentale nell’ambito delle applicazioni ortodontiche per il trattamento delle apnee ostruttive del sonno. (OSAS). Alla mia formazione si sta attualmente aggiungendo la Specializzazione triennale in Ortognatodonzia.















